Invisalign Hero

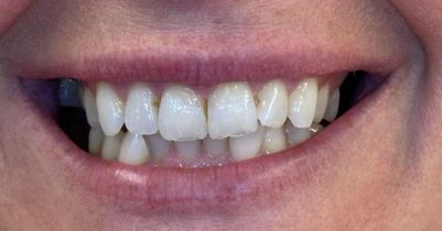
Composite Bonding in Nottingham

Repair Chips & Imperfections with Confidence

  • Minimally invasive treatment – no drilling, no injections
  • Natural-looking results in a single appointment
  • Trusted team led by one of the UK’s most highly trained cosmetic dentists

 

4.8
Google logo

Replacing missing teeth at a glance

Usually completed in a single appointment
From £250 per tooth
Flexible finance plans available
– Patients with chips, cracks, or worn teeth
– Those looking to close small gaps or reshape teeth
– Anyone wanting a quick, minimally invasive cosmetic treatment

Why Patients Choose Hilton Dental Clinic
for Composite Bonding?

Cosmetic Dentistry Expertise

Treatments carried out by Dr Hummaid Jabbar with years of restorative and cosmetic experience.

Natural-Looking Results

Composite is carefully sculpted and polished to blend seamlessly with your natural teeth.

Minimally Invasive

No drilling or injections needed – resin is bonded directly to your tooth surface.

Same-Day Transformation

Most treatments completed in a single visit for an instant confidence boost.

Affordable & Flexible

Bonding is one of the most cost-effective cosmetic treatments, with finance options available.

Trusted Care

Hilton Dental is recognised for excellence in both cosmetic and implant dentistry, giving you complete peace of mind.

Content Image

Fixing Chips & Cracks

Chipped or cracked a tooth? Composite bonding is a quick and simple solution to restore its natural appearance. A tooth-coloured resin is applied directly onto the damaged area, then shaped and polished to match your surrounding teeth. The result is seamless, strong, and long-lasting — helping you smile with confidence again.

Content Image

Closing Gaps

Small gaps between teeth can make you self-conscious about your smile. Composite bonding allows us to carefully build up the sides of your teeth with tooth-coloured resin, closing spaces without the need for braces. It’s a minimally invasive way to achieve a more even, balanced smile in just one visit.

Content Image

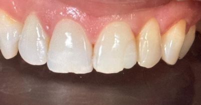
Improving Shape & Colour

If your teeth are uneven, misshapen, or discoloured, composite bonding offers a fast cosmetic upgrade. We can resculpt tooth edges, lengthen short teeth, and disguise stubborn stains using a natural-looking resin. With no drilling or injections required, bonding provides an instant boost to both your smile and your confidence.

Hear from our patients

Composite Bonding Fee Guide

Composite Bonding

From £250 per tooth
View Full Pricing

Get started with a Free Consultation

Are you a(Required)
Preferred Method of Contact(Required)

Cosmetic Bonding FAQs

What is composite bonding?

Composite bonding is a cosmetic treatment that uses a tooth-coloured resin material to repair chipped, discoloured, or decayed teeth. The resin is sculpted to match your natural teeth and then hardened with a special light.

Is composite bonding painful?

No. Composite bonding is a minimally invasive treatment and usually requires no anaesthetic. There’s no drilling of the tooth, making it a comfortable and straightforward procedure. 

How long does composite bonding last?

With proper care, composite bonding can last between 5–7 years. Regular brushing, flossing, and avoiding staining foods or habits (like smoking) can help prolong its appearance and durability. 

Call Now Book Now